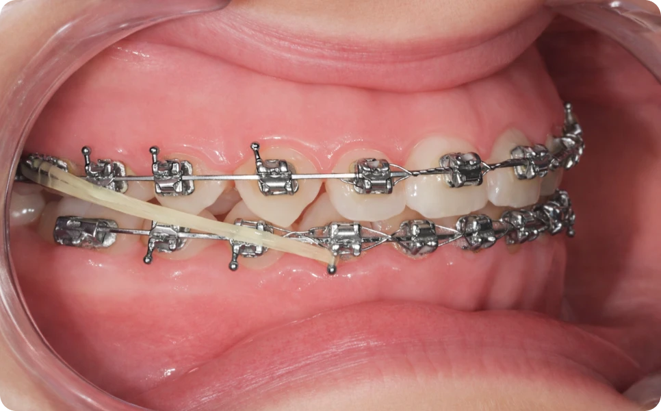
TIM 2 et TIM 3 (Tractions Intermaxillaires)

Les TIM 2 et TIM 3 correspondent à des tractions intermaxillaires, c’est-à-dire l’utilisation d’élastiques orthodontiques reliant les dents du haut et celles du bas.
Ces élastiques font partie intégrante de nombreux traitements orthodontiques et jouent un rôle essentiel dans la correction de l’emboîtement des dents.

Les TIM sont utilisées aussi bien chez l’adolescent que chez l’adulte, en complément d’un appareil orthodontique fixe ou d’autres dispositifs.

Visibilité : élastiques discrets (portés entre les arcades)
Port : amovible, selon prescription (souvent jour et nuit)
Âge : adolescents et adultes
Type : traction intermaxillaire par élastiques
Indication principale : correction des décalages entre les mâchoires de classe II (avancée relative de la mandibule ou recul du maxillaire)

À quoi servent les tractions intermaxillaires (TIM) ?

Les tractions intermaxillaires permettent de corriger la relation entre les dents du haut et celles du bas, lorsque leur position n’est pas équilibrée.

Elles peuvent être indiquées pour :

  • améliorer l’emboîtement des dents ;

  • corriger un décalage entre les arcades dentaires ;

  • guider la fermeture de la mâchoire ;

  • stabiliser certains mouvements dentaires réalisés par l’appareil orthodontique.

Les TIM 2 et TIM 3 correspondent à des schémas de traction différents, choisis par le praticien en fonction de la situation clinique. Il existe de nombreuses variantes possibles, adaptées à chaque patient.

Principe général des TIM

Le principe des tractions intermaxillaires est simple :
des élastiques sont placés entre certaines dents du haut et certaines dents du bas afin d’exercer une force douce et contrôlée.

Ces forces permettent :

  • d’orienter les dents vers une position plus fonctionnelle ;
  • d’améliorer progressivement l’occlusion ;
  • de compléter l’action des appareils orthodontiques.

Le type de traction (TIM 2, TIM 3 ou autre) est déterminé par le praticien.

Il est important de noter que la position des élastiques peut varier, et qu’il ne s’agit jamais d’un montage standard identique pour tous les patients.

Déroulement du traitement orthodontique

  1. Bilan orthodontique initial
    Avant la mise en place des tractions intermaxillaires, le praticien réalise un examen clinique complet. Il analyse l’occlusion, la position des dents et les objectifs du traitement.
  2. Mise en place des élastiques
    Les élastiques sont fournis par le cabinet et mis en place par le patient selon les consignes expliquées lors du rendez-vous. Le praticien montre précisément comment les positionner.
  3. Phase de port actif
    Les élastiques doivent être portés régulièrement, souvent plusieurs heures par jour ou en continu, selon les indications. Une sensation de tension peut apparaître au début, ce qui est normal.
  4. Suivi et ajustements
    Lors des rendez-vous de contrôle, le praticien vérifie l’évolution et peut modifier le schéma de traction si nécessaire.

Conseils de port et d’entretien

La réussite du traitement dépend largement de la coopération du patient. Il est recommandé :

  • de porter les élastiques exactement comme indiqué ;
  • de les changer régulièrement ;
  • de retirer les élastiques uniquement pour les repas et le brossage, si cela est autorisé ;
  • de maintenir une hygiène bucco-dentaire rigoureuse.

Que faire en cas de gêne ou d’incident ?

En cas de perte d’élastiques, de gêne importante ou de doute sur le port, il est important de contacter le cabinet.

Résultats attendus

Les TIM 2 et TIM 3 permettent :

  • une amélioration progressive de l’occlusion ;

  • un meilleur emboîtement des dents ;

  • une stabilisation des mouvements orthodontiques ;

  • une optimisation du résultat final du traitement.

La durée d’utilisation des tractions intermaxillaires varie selon chaque patient et dépend de la régularité du port.

Questions fréquentes des patients

Les élastiques font-ils mal ?

Ils peuvent provoquer une sensation de tension au début, mais celle-ci disparaît généralement en quelques jours.

Faut-il les porter tous les jours ?

Oui. La régularité est essentielle pour obtenir un bon résultat.

Que se passe-t-il si j’oublie de les porter ?

Le traitement peut être ralenti ou moins efficace. Il est important de respecter les consignes.

Les TIM sont-elles définitives ?

Non. Les tractions intermaxillaires sont utilisées pendant une période limitée du traitement.